La Smile Clinic Paris devient le Cabinet Dentaire de la Madeleine

Traitement de la parodontite et greffe de gencive​

Vous souffrez de problèmes de parodontie et vous cherchez un dentiste à Paris ?

Qu'est-ce que la parodontie ?

La parodontie est une spécialité dentaire qui traite les maladies et les infections des gencives, des os et des tissus qui entourent et soutiennent les dents. La parodontite est la forme la plus courante de maladie parodontale et peut entraîner une perte dentaire si elle n’est pas soignée.

Quels sont les symptômes de la parodontite ?

Les symptômes de la parodontite incluent des saignements des gencives, des douleurs, des gonflements, une mauvaise haleine, des dents mobiles ou une récession gingivale. Si vous remarquez ces symptômes, il est important de consulter un parodontologue à Paris pour un diagnostic et un traitement approprié.

Quels sont les facteurs de risque de la parodontite ?

• Tabac
• Diabète
• Stress
• Maladies sanguines
• Antécédents familiaux de parodontite

Traitement de la parodontite à Paris

Le traitement de la parodontite dépend de la gravité de la maladie. Pour les cas légers à modérés, le traitement peut inclure un détartrage professionnel, un polissage des dents, un traitement des bactéries responsables de la maladie et des conseils d’hygiène buccale.
Pour les cas plus sévères, une intervention chirurgicale de greffe de gencive peut être nécessaire pour restaurer la santé des gencives et des os.

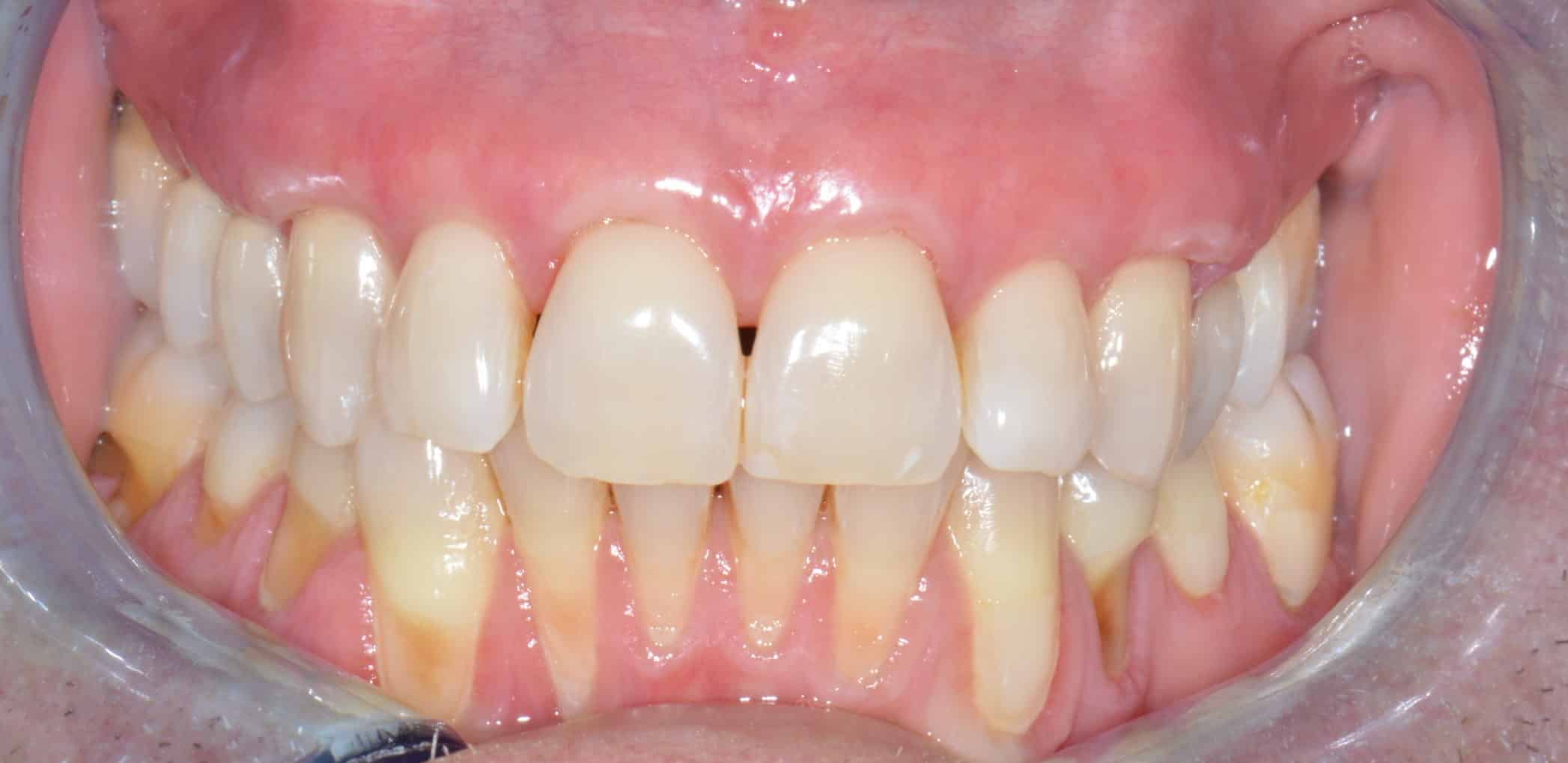
Avant
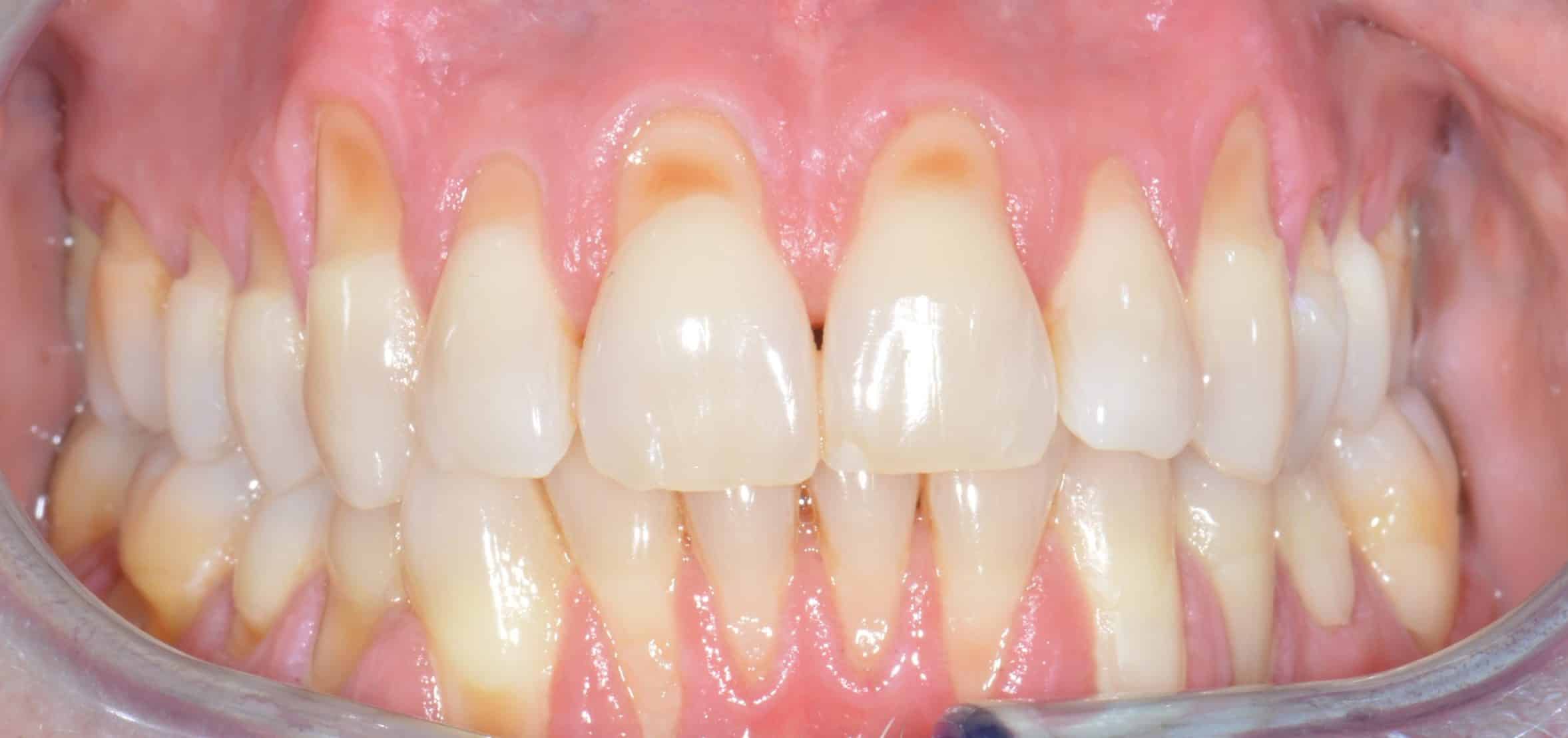
Traitement de la parodontite et greffe de gencive
Après

Greffe de gencive à Paris

La greffe de gencive est une intervention chirurgicale qui permet de restaurer les gencives endommagées ou dégradées par la maladie parodontale. Elle permet de stabiliser les dents et de prévenir une perte ultérieure de dents.

Selon la situation clinique, la gingivectomie peut précéder ou accompagner une greffe de gencive afin de restaurer harmonieusement le contour gingival et d’assurer une cicatrisation optimale.

Comment se déroule une greffe de gencive ?

Une greffe de gencive consiste à retirer de la muqueuse buccale saine pour la transplantée sur une zone défectueuse. Ce traitement est généralement réalisé sous anesthésie locale et peut prendre entre une et plusieurs heures selon l’étendue de la zone à traiter.
Après l’intervention, il est normal d’avoir un certain gonflement et des douleurs mais des médicaments peuvent être prescrits pour soulager les symptômes. Il est important de suivre les instructions de votre chirurgien du Cabinet Dentaire de la Madeleine pour une récupération rapide et un résultat optimal.

Les avantages d'une greffe de gencive

Une greffe de gencive présente de nombreux avantages pour la santé buccale et l’esthétique. Elle permet de :

  • Stabiliser et améliorer l’état des dents en réduisant la perte osseuse.
  • Favoriser la régénération de l’os autour des dents.
  • Améliorer l’apparence des dents en redessinant les lignes de la gencive.
  • Prévenir la progression de la parodontite et protéger les dents.
  • Favoriser la cicatrisation rapide et le confort post-opératoire

En optant pour une greffe de gencive, vous pouvez retrouver une bonne santé buccale et une esthétique dentaire durable.

Pourquoi choisir le Cabinet Dentaire de la Madeleine pour la parodontie ?

Notre Cabinet Dentaire offre des solutions de traitement parodontal et nous disposons d’une équipe de professionnels pour vous aider à retrouver des gencives en bonne santé.
Nous utilisons les dernières techniques et technologies pour garantir des résultats optimaux et une expérience de traitement confortable pour nos patients.
Enfin, nous nous engageons à fournir un service personnalisé et à vous aider à atteindre vos objectifs en matière de santé bucco-dentaire.

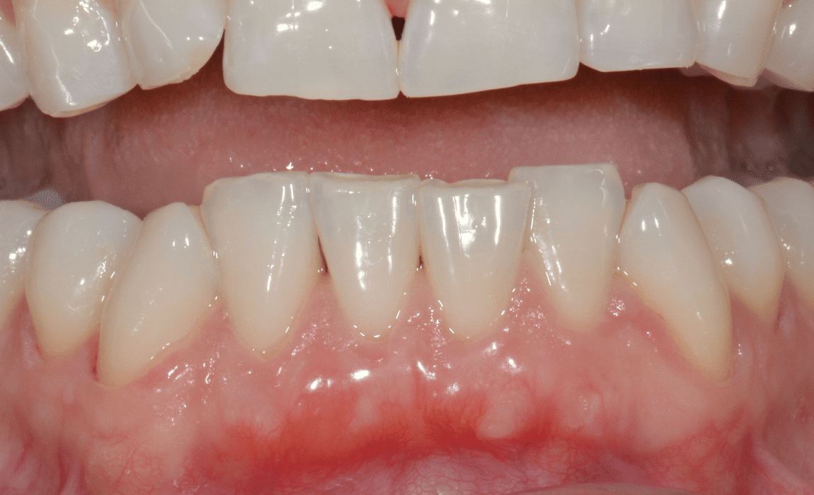
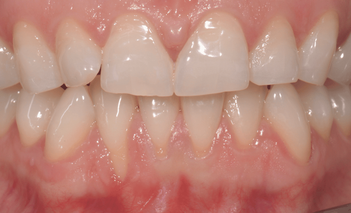
Exemples avant/après en parodontie

Retrouvez quelques exemples avant/après de traitement parodontal réalisés au Cabinet Dentaire de la Madeleine, à Paris La Madeleine.

Avant greffe de gencive au Cabinet Dentaire de la Madeleine Après greffe de gencive au Cabinet Dentaire de la Madeleine
parodontologie parodontologie

Besoin d'un traitement de la parodontite ?

Nos spécialistes du Cabinet Dentaire de la Madeleine sont là pour vous !

Les questions fréquentes sur le traitement de la parodontite et greffe de gencive

Les symptômes de la parodontite incluent les gencives douloureuses et saignantes, les dents mobiles ou qui se déchaussent, une mauvaise haleine persistante, des dents qui semblent plus longues, des espaces entre les dents et des changements dans la position des dents. Un dentiste peut diagnostiquer la parodontite lors d’un examen dentaire.

Un traitement parodontal se déroule en plusieurs étapes et peut inclure un nettoyage profond des dents, un traitement des poches parodontales et une réduction de la plaque et du tartre. Le but du traitement est d’éliminer les bactéries qui causent l’inflammation et la perte osseuse.

Il est habituel de pouvoir retourner à ses activités quotidiennes après une greffe de gencive, mais le temps de récupération peut varier en fonction de la complexité de l’intervention et de la rapidité de la guérison. Il est important de suivre les instructions du chirurgien pour favoriser une récupération rapide et sans complication.

La greffe de gencive se déroule sous anesthésie locale, de sorte que la douleur est minimale pendant l’intervention. Après l’intervention, il est possible d’éprouver une certaine douleur et des sensations de gonflement, mais cela peut être géré avec des analgésiques sur ordonnance.

Le temps de récupération après une greffe de gencive peut varier en fonction de la complexité de l’intervention et de la rapidité de la guérison, mais en général, il faut compter entre une et deux semaines pour une récupération complète. Il est important de suivre les instructions du chirurgien pour favoriser une récupération rapide et sans complication.