La Smile Clinic Paris devient le Cabinet Dentaire de la Madeleine

Dentiste esthétique Paris - Esthétique dentaire

Vous souhaitez retrouver votre plus beau sourire ?

Le cabinet dentaire de la Madeleine propose des soins spécialisés en esthétique dentaire.

Les différents types de soins esthétiques dentaires

Il existe de nombreux types de soins esthétiques dentaires pour améliorer l’apparence de votre sourire. Nous vous proposons une liste complète des différents traitements disponibles à le cabinet dentaire de la Madeleine.

Blanchiment des dents - Des dents plus blanches en un rien de temps

Le blanchiment, ou éclaircissement des dents est un traitement esthétique populaire qui permet d’éclaircir la couleur des dents pour un sourire plus lumineux.
Nous proposons des options de blanchiment en cabinet ou à domicile pour répondre à vos besoins individuels, de plus nous pouvons enlever une ou plusieurs tâches sur vos dents, prenez rendez vous !

Eclaircissement-Blanchiment-Dentaire
Avant
Eclaircissement-Blanchiment-Dentaire
Après

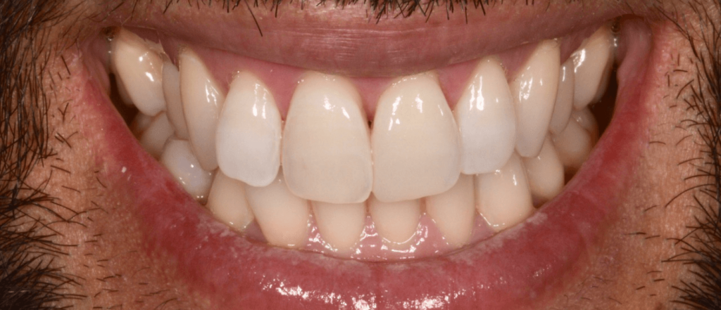
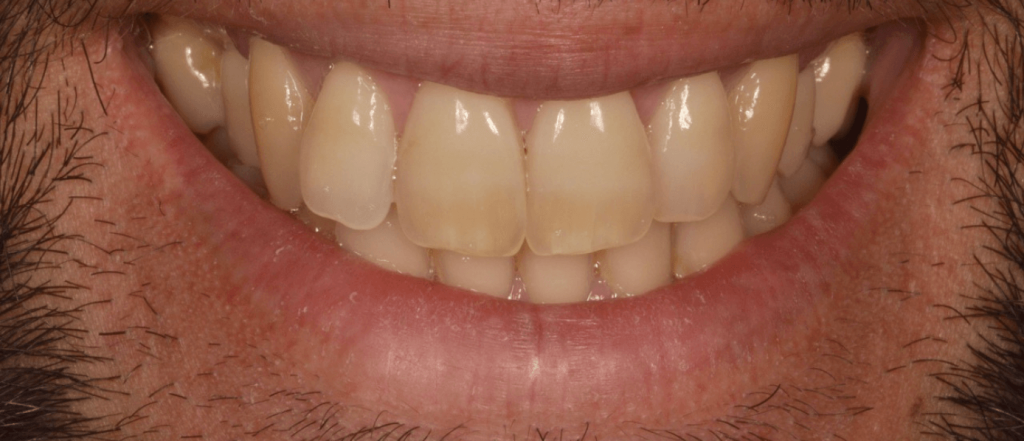
Facettes dentaires - Des dents plus régulières et plus brillantes

Les facettes dentaires sont des revêtements en céramique ou en composite qui sont collés sur les dents pour améliorer leur forme, leur couleur et leur alignement. Les facettes peuvent être utilisées pour corriger des imperfections telles que des dents tachées, ébréchées ou mal alignées.

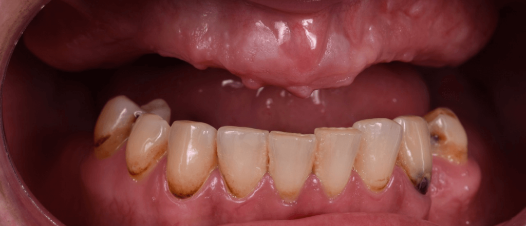
Cas pratique d'avant la pose de facettes dentaires
Avant
Cas pratique d'après la pose de facettes dentaires
Après

Inlays et onlays - Des dents plus saines et plus esthétiques

Les inlays et onlays sont des pièces en céramique ou en composite qui sont utilisées pour remplacer les parties manquantes des dents. Ils sont fabriqués sur mesure pour s’adapter parfaitement à vos dents et sont souvent utilisés pour les dents endommagées par les caries ou les fissures.

Avant
Après

Implants dentaires - Des dents remplacées de manière permanente

Les implants dentaires sont des racines artificielles qui remplacent les racines naturelles des dents manquantes. Ils sont insérés dans l’os de la mâchoire pour maintenir des prothèses comme des couronnes, des bridges ou des dentiers. Les implants dentaires sont une solution permanente pour remplacer les dents manquantes et améliorer l’apparence et la fonction de la bouche.
implantologie
Avant
Dentiste esthétique Paris
Après

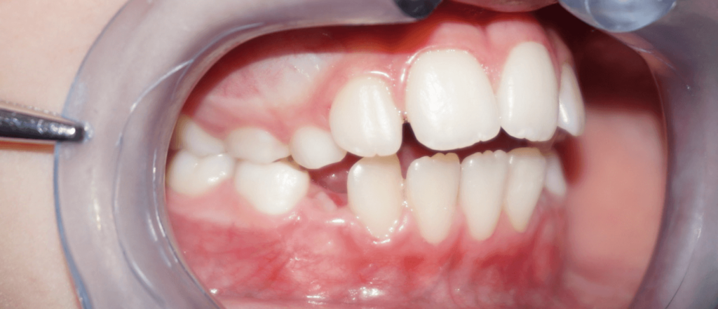
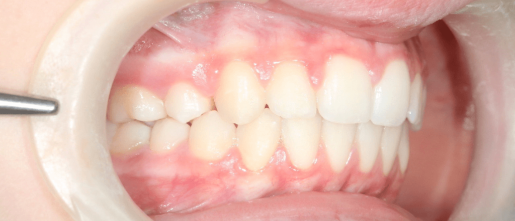
Orthodontie - Des dents droites pour un sourire plus beau

L’orthodontie est un traitement utilisé pour corriger les problèmes d’alignement des dents et des mâchoires, grâce à des appareils tels que des bagues, des gouttières ou des aligneurs Invisalign pour repositionner les dents.

orthodontie avant
Avant
Cosmetic dentist care in Paris
Après

Réhabilitation complète - Un sourire complet et esthétique

La réhabilitation esthétique complète est une combinaison de différents traitements esthétiques dentaires pour améliorer l’apparence générale de votre sourire. Cela peut inclure des soins tels que des facettes dentaires, des couronnes, des implants ou des prothèses pour créer un sourire complet et naturel.

Vous souhaitez avoir un sourire naturel ?

Nos praticiens au cabinet dentaire de la Madeleine sont là pour vous !

Pourquoi faire appel à un dentiste esthétique ?

Il y a de nombreuses raisons de faire appel à un dentiste esthétique pour améliorer l’apparence de votre sourire. En voici quelques-unes.

Des soins professionnels pour un sourire plus beau

Les dentistes esthétiques sont formés pour fournir des soins de qualité supérieure afin de corriger les imperfections des dents et de la bouche. Ils utilisent des techniques et des matériaux de pointe pour des résultats esthétiques durables et naturels

Avec Le cabinet dentaire de la Madeleine, des solutions adaptées à vos besoins et à votre budget

En faisant appel à notre cabinet dentaire, vous avez accès à des solutions adaptées à vos besoins individuels et à votre budget. Nos dentistes prennent en compte vos souhaits esthétiques et vos limites budgétaires pour créer un plan de traitement sur mesure.

Notre expertise en matière de chirurgie esthétique dentaire

Le cabinet dentaire de la Madeleine met à disposition une équipe de dentistes passionnés par l’esthétique dentaire. Leur savoir repose sur une formation approfondie et l’utilisation de technologies avancées afin d’assurer des soins précis et adaptés. Un accompagnement personnalisé est proposé tout au long du traitement, avec une attention particulière portée aux attentes de chaque patient.

Parmi les meilleurs dentistes esthétiques de Paris ?

Nous nous efforçons d’atteindre l’excellence en dentisterie esthétique, en mettant tout en œuvre pour offrir des soins de qualité. Bien que nous ne puissions prétendre être le meilleur dentiste esthétique de Paris, notre équipe de praticiens utilisent les technologies les plus récentes pour proposer des traitements personnalisés, adaptés à chaque patient.