Invisalign invisible orthodontics in Paris and dental alignment

Say goodbye to teeth and jaw alignment issues

Aligning teeth with Invisalign orthodontics

Invisalign invisible orthodontics is an innovative technique for correcting dental problems without the use of visible braces or wires.

The benefits of Invisalign invisible orthodontics for teeth alignment

Invisalign orthodontics offers numerous advantages for teeth alignment.

Firstly, custom-made dental alignment trays are created for each patient, enabling more precise and quicker results compared to traditional appliances.
Secondly, these trays are removable, allowing you to eat and brush your teeth normally.
Lastly, Invisalign orthodontics is more comfortable to wear and less noticeable than traditional appliances, allowing patients to maintain a normal social and professional life during treatment.

What dental problems can Invisalign treat?

Invisalign orthodontics is an invisible orthodontic treatment that can address issues such as misaligned teeth, improperly positioned jaws, gaps between teeth (diastema), and missing prosthetics.

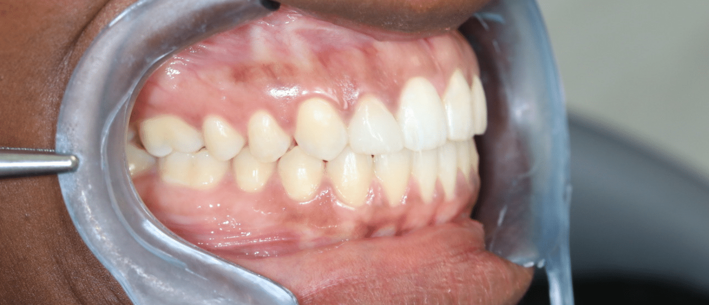
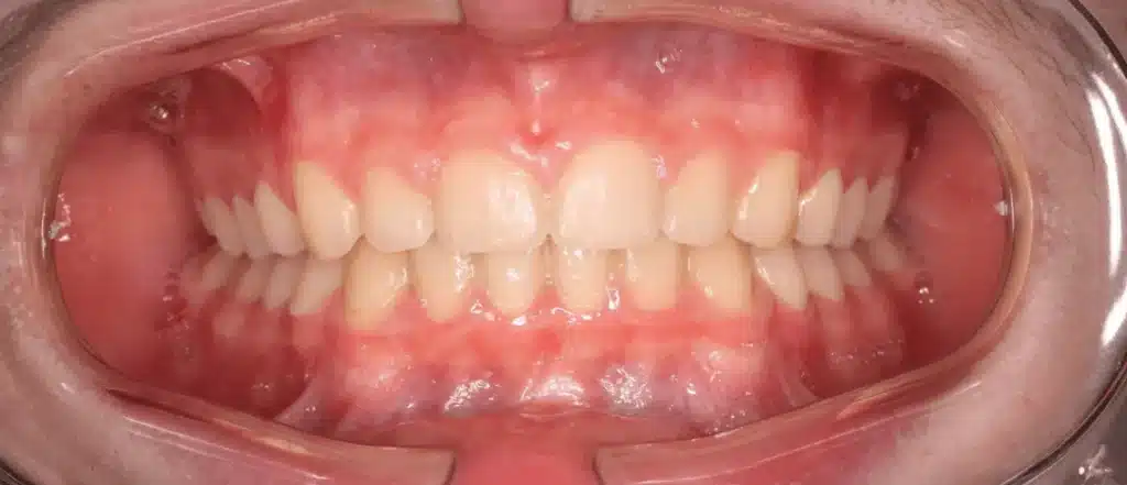
Orthodontie invisalign invisible avant
BEFORE
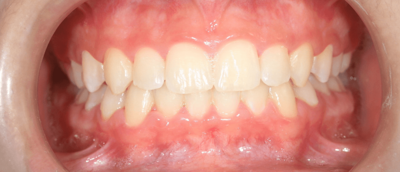
Orthodontie invisalign invisible apres

AFTER

Different orthodontic techniques

Orthodontics is a dental specialty that aims to correct the positioning of teeth and jaws. In this section, we will explore the various available options.

Fixed orthodontics

This technique uses braces and wires to correct dental problems. Braces are attached to the teeth, and wires are used to gradually move them to the desired position.

Removable orthodontics

This technique utilizes removable appliances, such as alignment trays, to correct dental problems. Removable appliances can be taken out for oral hygiene and eating.

Lingual orthodontics

This technique is similar to fixed orthodontics, but the braces and wires are placed behind the teeth, making the treatment invisible.

Hidden and discreet orthodontics (Invisalign)

Invisible orthodontic appliances, like Invisalign, are an ideal option for individuals who want to correct their smiles without drawing attention to their treatment.

Uncertain about the right solution for your needs?

Our Invisalign orthodontics specialists are here for you!

How does invisalign treatment work?

Invisalign treatment consists of several crucial stages, each essential for achieving satisfactory results.

What are the stages of Invisalign treatment?

The treatment begins with a consultation with an Invisalign dentist.
Your dentist at The Smile Clinic will take dental impressions and photographs to create a personalized treatment plan.
Next, custom dental alignment trays will be crafted.
You must wear the trays all day, except when eating and brushing your teeth.
You will need to change trays approximately every 2 weeks to continue correcting your teeth.

How long does Invisalign treatment take?

The treatment duration varies depending on the complexity of the case, but generally lasts from 12 to 18 months.
However, some cases may require longer or shorter treatment durations.

Our top Invisalign orthodontists

We are estimated, and our clients confirm, to be among the top dentists in Paris across several dental specialties.
For Invisalign orthodontics, you will be in the care of our three experts in invisible orthodontics, Dr. SAYADA, Dr. ROCHER-BALOGH and Dr. DARDAS.

What is the cost of Invisalign treatment?

The cost of Invisalign treatment varies depending on the complexity of the case and the region you are in. It is generally comparable to the cost of traditional braces, but it’s essential to discuss costs with our Invisalign dentists before deciding to start treatment.

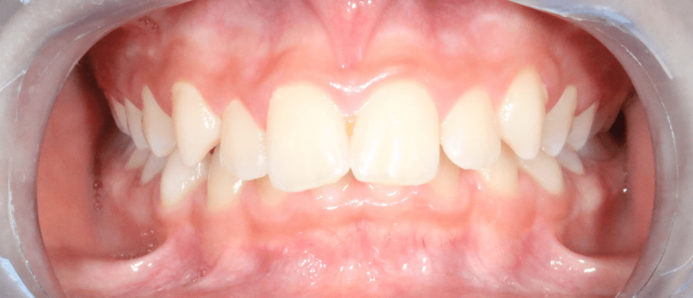
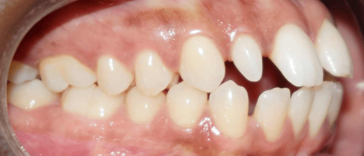
Examples of orthodontic Before/After

Find an example of Invisalign invisible orthodontic treatments at Smile Clinic.

orthodentie orthodentie

In need of orthodontic treatment?

Invisalign invisible orthodontics in Paris at Smile Clinic is your best option.